有限会社フィットイン

有限会社フィットイン
〒340-0215埼玉県久喜市栄1-17-8
TEL:0480-59-2541

有限会社フィットインのインプラント

インプラント

写真をクリックすると拡大します。

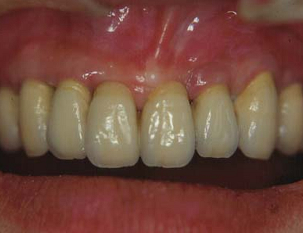
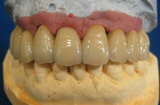
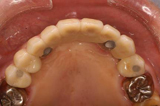
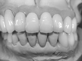
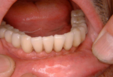
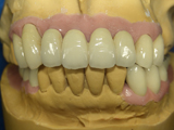
上顎インプラントフルマウス1(ステリオス)

インプラントフルマウス4-1 インプラントフルマウス4-2 インプラントフルマウス4-3 インプラントフルマウス4-4

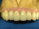
上顎インプラントフルマウス2(バイオロック)

上顎インプラントフルマウス2-4-1-1 上顎インプラントフルマウス2-4-1-2 上顎インプラントフルマウス2-4-4 上顎インプラントフルマウス2-4-3

下顎インプラントフルマウス(ブローネンマルク)

下顎インプラントフルマウス9-1 下顎インプラントフルマウス9-2 下顎インプラントフルマウス9-3 下顎インプラントフルマウス9-4 下顎インプラントフルマウス9-5 下顎インプラントフルマウス9-6 下顎インプラントフルマウス9-7 下顎インプラントフルマウス9-8 下顎インプラントフルマウス9-9

ジルコニアアバットメント(spiインプラント)

ジルコニアアバットメント2-1 ジルコニアアバットメント2-2

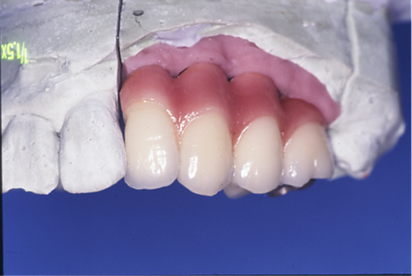
インプラントガム付き1(リプレース)

インプラントガム付き2-1 インプラントガム付き2-2

インプラントガム付き2(ステリオス)

上顎ガム付き3-1 上顎ガム付き3-2 上顎ガム付き3-3

下顎臼歯部1(リプレース)

下顎4-1 下顎4-2 下顎4-3 下顎4-4

下顎臼歯部2(spiインプラント)

アクセスホール

下顎臼歯部2(spiインプラント)

ヘアライン

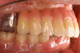
上下顎コンビネーション(アンキロス)

口腔外科17-1 口腔外科17-2 口腔外科17-3 口腔外科17-4 口腔外科17-5 口腔外科17-6 口腔外科17-7 口腔外科17-8 口腔外科17-9 口腔外科17-10 口腔外科17-11 口腔外科17-12 口腔外科17-13 口腔外科17-14 口腔外科17-15 口腔外科17-16 口腔外科17-17

エステニアボーンアンカードブリッジ(アストラ)

ボーンアンカード上顎5-1 ボーンアンカード上顎5-2 ボーンアンカード上顎5-3 ボーンアンカード上顎5-4 ボーンアンカード上顎5-5