有限会社フィットイン

有限会社フィットイン
〒340-0215埼玉県久喜市栄1-17-8
TEL:0480-59-2541

有限会社フィットインのセラミック

セラミック

写真をクリックすると拡大します。

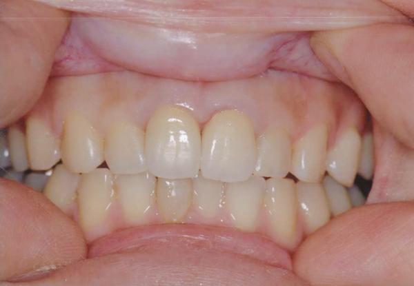
オールセラミクスクラウン 上顎中切歯

オールセラミクススラウン上顎中切歯2-1 オールセラミクスクラウン上顎中切歯2-2

オールセラミクスクラウン 上顎右上側切歯

オールセラミクスクラウン上顎右上側切歯2-1 オールセラミクスクラウン上顎右上側切歯2-1

オールセラミクスブリッジ

オールセラミクスブリッジ

右上中切歯メタルボンド

右上中切歯メタルボンド

メタルボンド臼歯

メタルボンド臼歯

キーアンドキーウェイ

キーアンドウェイ01 キーアンドウェイ01 キーアンドウェイ03 キーアンドウェイ04 キーアンドキーウェイ01 キーアンドキーウェイ02

メタルボンドシェーディング試適1

メタルボンドシェーディング試適1-2-1 メタルボンドシェーディング試適1-2-2

メタルボンドシェーディング試適2

メタルボンドシェーディング試適2-2-1 メタルボンドシェーディング試適2-2-2

メタルボンドブリッジ上顎

前歯